
PORTFOLIO OF ROOT CANAL CASES
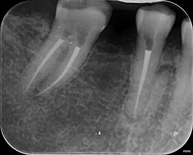
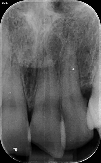
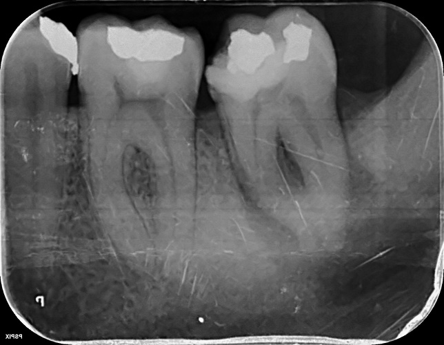
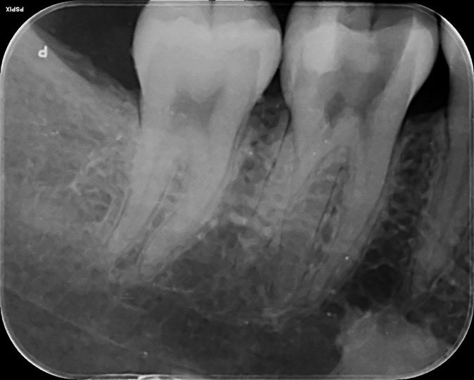
Lower Molar and premolar Primary root canal treatment


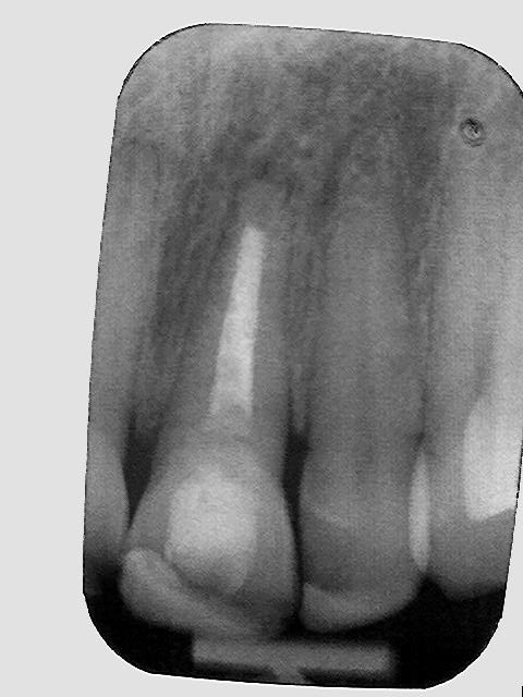
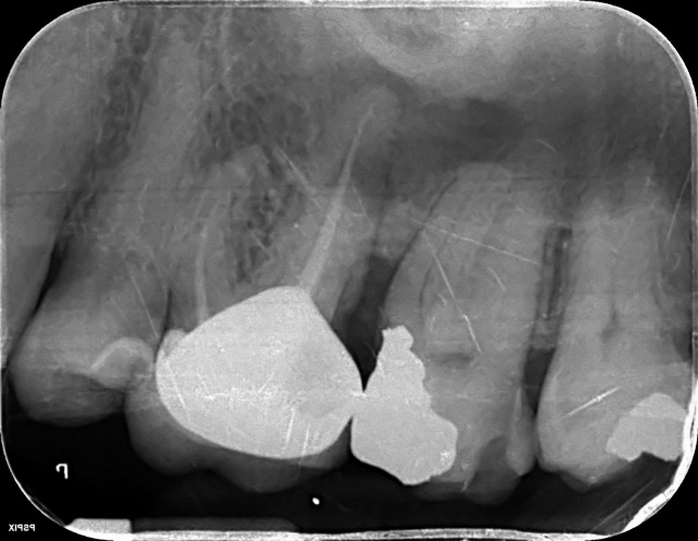
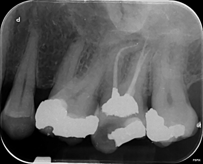
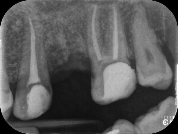
Upper Premolar curved root Primary root canal treatment


Lower Molar Primary root canal treatment


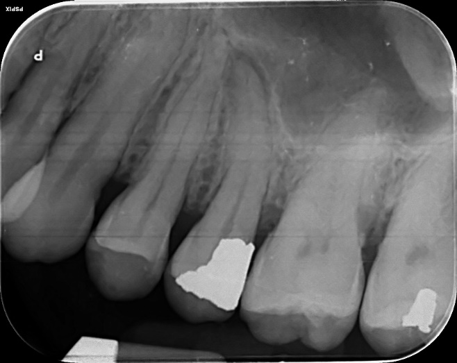
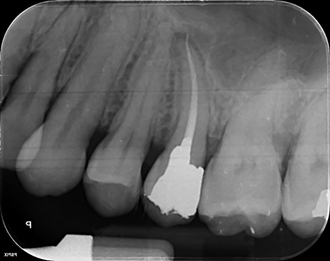
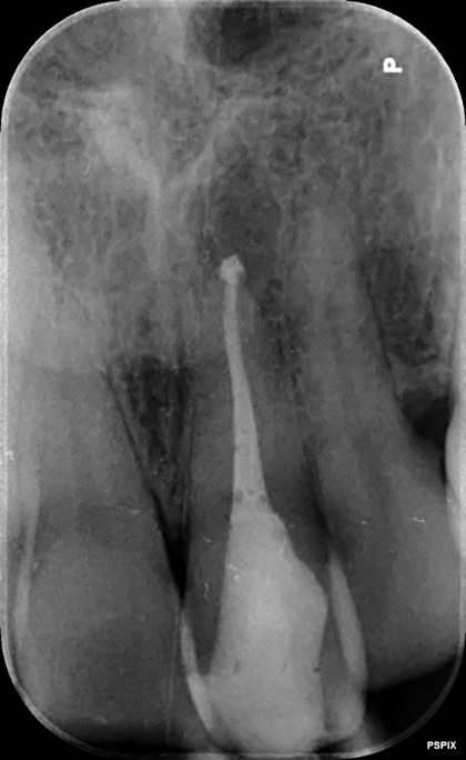
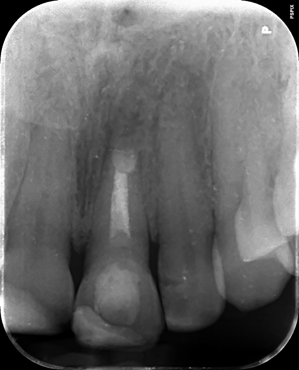
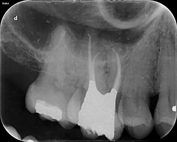
Upper Incisor trauma case primary root canal treatment and rebuild


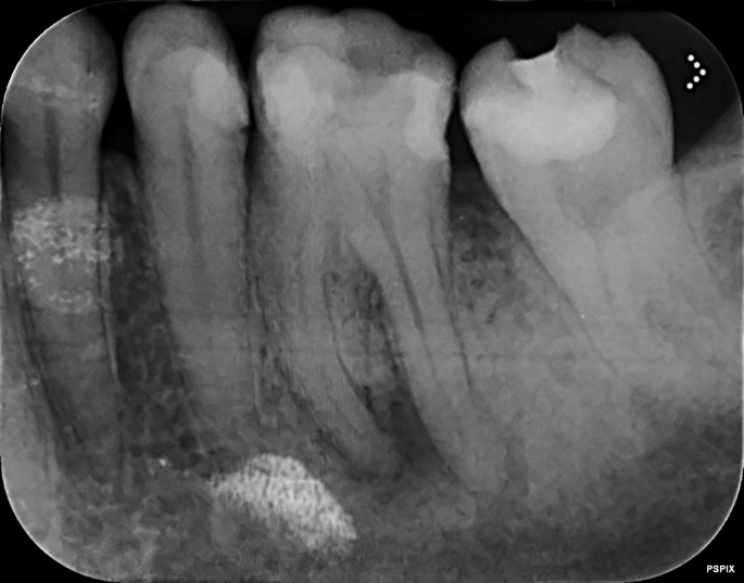
Lower Molar x2 curved roots Primary Root canal treatment and dental crown/rebuild


Lower Molar curved root Primary root canal treatment and rebuild


Upper Incisor root-end surgery and MTA repair


Upper molar curved root Re-root canal treatment


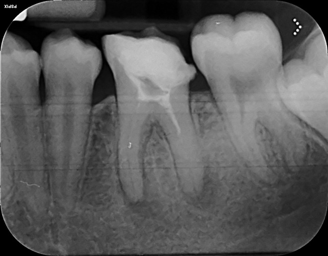
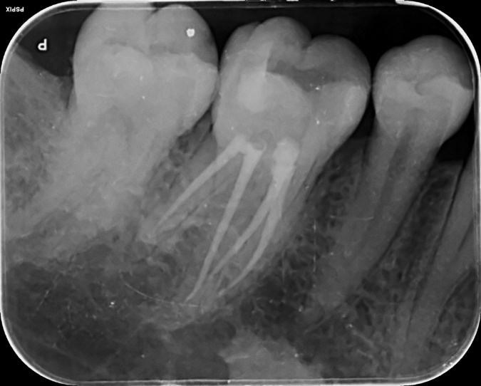
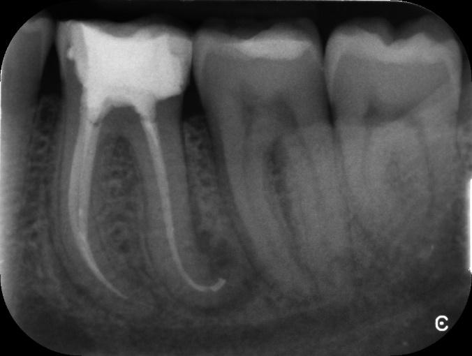
Lower Molar S shaped root Primary Root Canal treatment and core rebuild


Upper Molar curved root Primary Root canal treatment


Lower Molar primary Root canal treatment with core placement for crown


Lower premolar primary Root canal treatment with Internal resorption defect


Lower molar primary root canal treatment


Upper Molar primary Root canal treatment and core rebuild


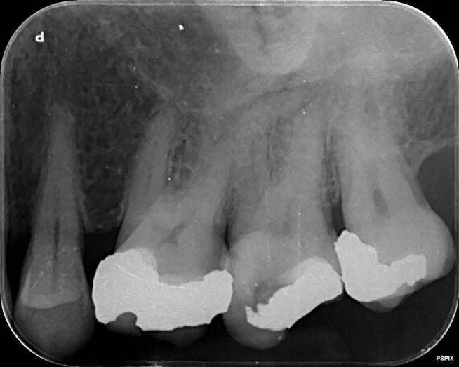
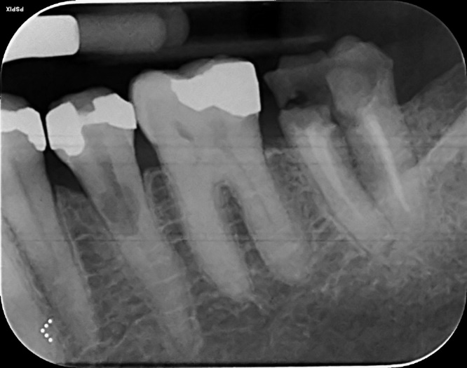
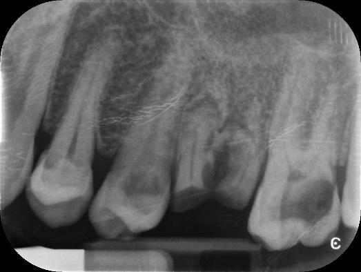
Upper Premolar and Molar root canal treatment and restoration


Upper Molar x2 Primary root canal treatments with core rebuilds


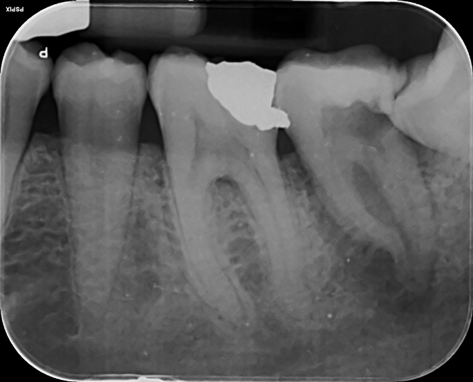
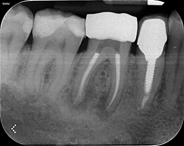
Lower Re-root canal treatment through dental crown


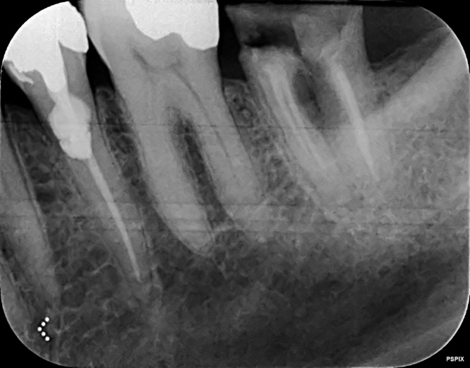
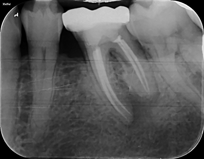
Lower Molar curved roots Re-root canal treatment with core rebuild


Lower molar Primary Re-root canal treatment


